
- HMPV adalah virus non-segmented negative-sense single stranded RNA (ssRNA) dalam famili Pneumoviridae
- Klasifikasi : Genotype A dan B
- Transmisi : Melalui droplet saat batuk/bersin dan kontak dari permukaan yang terkontaminasi
- Ditemukan pertama kali pada tahun 2001 di Belanda
- CDC China mengungkapan infeksi HMPV sering menyerang anak-anak <14 tahun

Apa itu Human Metapneumovirus (HMPV), dan Bagaimana virus ini ditemukan?
Human Metapneumovirus (HMPV) adalah salah satu jenis virus penyebab infeksi saluran pernapasan.
- HMPV adalah virus non-segmented negative-sense single stranded RNA (ssRNA) dalam famili Pneumoviridae
- Klasifikasi : Genotype A dan B
- Transmisi : Melalui droplet saat batuk/bersin dan kontak dari permukaan yang terkontaminasi
- Ditemukan pertama kali pada tahun 2001 di Belanda
HPMV sebenarnya bukanlah suatu varian virus yang baru dikenali. Peneliti telah mengidentifikasi virus ini pada tahun 2001 untuk pertama kalinya, di Belanda pada seorang anak. Virus ini bisa menginfeksi seseorang lebih dari 1 kali, tetapi infeksi pertama biasa akan menyebabkan gejala yang lebih berat. Sedangkan untuk infeksi kedua dan seterusnya, gejala cenderung lebih ringan, karena sistem kekebalan tubuh telah terbentuk untuk melawan HMPV.
Seberapa umum HMPV terjadi, dan kelompok usia mana yang paling rentan terinfeksi?
Kelompok berisiko gejala berat :
- Usia >65 tahun
- Anak-anak <14 tahun (CDC China)
- Orang dengan penyakit kronis: (PPOK, AsmaCHF, Hipertensi, DM)
- Orang dengan sistem imun lemah/immunocompromised seperti HIV, penderita kanker, dll
- Orang dengan obesitas (BMI >40)
Lingkungan yang padat penduduk dan higienitas yang buruk juga turut berpengaruh dalam penyebaran HMPV
Apa perbedaan HMPV dgn virus pernapasan lain seperti covid19 atau influenza
- Berbeda dengan virus COVID-19 yang bisa terjadi pada musim apa pun, penyebaran virus HPMV lebih banyak terjadi pada musim hujan atau ketika kelembapan udara tinggi. Selain itu, COVID-19 juga sudah memiliki vaksin sebagai upaya pencegahan, sedangkan HMPV belum.
- Namun, HMPV bukanlah suatu kondisi yang relatif berbahaya. Kondisi ini mungkin sudah pernah Anda alami, hanya saja tidak disadari, karena gejalanya yang lebih mirip dengan flu.
- Bila Anda maupun orang tercinta (terutama anak, lansia, maupun yang memiliki kekebalan tubuh yang lemah), mengalami gejala HMPV yang tidak membaik setelah lebih dari 3 hari, sebaiknya periksakan diri ke dokter spesialis paru untuk penanganan lebih lanjut. Sebab, meskipun tidak berbahaya, penanganan awal juga penting untuk mempercepat pemulihan dan mencegah komplikasi yang mungkin terjadi.
Apa saja gejala yang sering muncul pada pasien yang terinfeksi HMPV?
-
- Masa inkubasi : 3-6 hari
- Periode infeksi : 3-5 hari
Pada bayi dapat berlangsung 1-2 minggu - Gejala klinis
Asimptomatik
Influenza like ilness (ILI) - Gejala umum : demam, batuk, PILEK
- Gejala lain : myalgia, nyeri kepala, malaise, ruam kulit
- Gejala berat
Dyspnea, takipnea
Pada bayi <6 bulan sering terjadi apnea - Komplikasi
Bronkiolitis
Pneumonia
Asma Eskaserbasi
ARDS
Bagaimana cara HMPV menyebar, dan seberapa mudah virus ini menular?

-
- Influenza dan HMPV ditularkan melalui droplet saat penderita batuk, bersin, atau berbicara
- Droplet yang mengandung virus dapat stabil di:
– Udara dingin dan kelembapan rendah
– Lingkungan tertutup dengan ventilasi buruk
– Permukaan/benda yang terkontaminasi (8-12 pada baju/kertas dan 24-28 pada stainless steel) - Inkubasi virus influenza (1-4 hari) dan HMPV (3-6 hari) yang pendek
- Pada influenza virus : adanya variasi antigenic drift dan antigenic shift
Apakah HMPV lebih sering menyebabkan gejala ringan atau bisa juga menjadi penyakit berat?
- Virus ini bisa menginfeksi seseorang lebih dari 1 kali, tetapi infeksi pertama biasa akan menyebabkan gejala yang lebih berat. Sedangkan untuk infeksi kedua dan seterusnya, gejala cenderung lebih ringan, karena sistem kekebalan tubuh telah terbentuk untuk melawan HMPV.
- Sebab, meskipun tidak berbahaya, penanganan awal juga penting untuk mempercepat pemulihan dan mencegah komplikasi yang mungkin terjadi.
- Infeksi HMPV umumnya ringan, mirip common cold atau flu maupun infeksi saluran pernapasan lain. Akan tetapi, infeksi HMPV bisa menjadi parah pada anak, lansia, atau individu dengan sistem imun lemah. Gejala infeksi HMPV meliputi batuk, pilek, demam, hingga kesulitan bernapas. Dalam kasus berat, HMPV dapat menyebabkan bronkitis atau pneumonia yang memerlukan perawatan medis.
Bagaimana cara mendiagnosis infeksi HMPV? Apakah ada tes khusus yang dapat dilakukan?
- Penegakan diagnosis dilakukan melalui :
– Anamnesis
– Pemeriksaan fisik - Pemeriksaan laboratorium tidak rutin dilakukan pada semua kasus, hanya pada individu dengan gejala berat atau saat terjadi outbreak.
- Pemeriksaan penunjang :
– Laboratorium
– RT-PCR
– Kultur virus
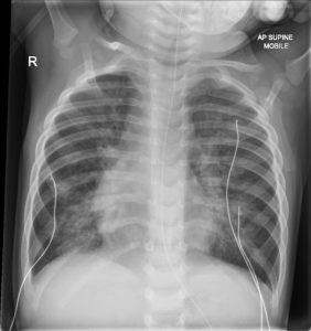
– Rontgen thorax/CT Scan


Apakah saat ini sudah tersedia pengobatan atau vaksin untuk HMPV?
- Terapi suportif/ berdasarkan gejala :
Istirahat/tirah baring
Pereda demam
Obat batuk/pilek - Antivirus:
Belum ada antivirus spesifik untuk HMPV
Ribavirin dapat digunakan pada pasien gejala berat
Apa langkah-langkah pencegahan yang efektif untuk menghindari penularan HMPV?
- Cuci tangan pakai sabun saat tiba di rumah, tempat kerja atau sekolah, sebelum makan, sebelum menyiapkan makanan, dan setelah menggunakan toilet.
- Tutup mulut dan hidung dengan siku terlipat saat batuk atau bersin atau gunakan tisu, yang langsung dibuang ke tempat sampah tertutup setelah digunakan. Cuci tangan dengan sabun dan air mengalir atau cairan pembersih tangan.
- Hindari menyentuh wajah karena mulut, hidung mata dapat menjadi pintu masuk virus.
- Bersihkan benda, permukaan, dan alat-alat yang sering digunakan, khususnya yang berada / digunakan secara umum, seperti meja, keyboard computer, pegangan pintu, dll. Bersihkan dengan cairan disinfektan

Penulis : dr.Selvy Wulandari, Sp.P M.Ked (Departemen Pulmonologi dan Kedokteran Respirasi RSUD BREBES)
